Periodontal Flap Surgeries
Periodontal Flap Surgeries
Periodontal flap surgeries, flap surgeries of gums, esthetic gum surgeries, and gum correction surgeries are various types of dental procedures that are performed to address different issues related to the gums and surrounding tissues in the oral cavity. Here’s a brief overview of each:

Periodontal Flap Surgery
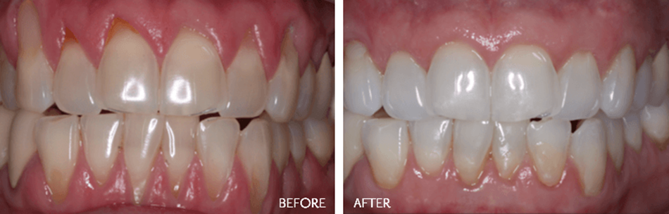
Periodontal flap surgery or "Gum correction surgeries" is a general term that encompasses various surgical procedures used to correct gum-related issues. These surgeries may include gum grafting to cover exposed tooth roots, crown lengthening to adjust the height of the gumline, or other procedures to address cosmetic or functional concerns with the gums. In this procedure, the gum tissue is carefully separated or lifted away from the teeth, creating a "flap" that provides access to the roots and underlying bone. This allows the dentist to remove plaque and calculus (tartar) from the tooth roots and to clean and reshape the bone if necessary. After cleaning, the gum tissue is sutured back into place. Periodontal flap surgery is used to reduce pocket depths, promote gum reattachment, and improve overall gum health.

Esthetic Gum Surgeries
Esthetic gum surgeries, also known as cosmetic gum surgeries, are dental procedures aimed at improving the appearance of the gums. These surgeries are often performed to address issues such as gummy smiles, uneven gum lines, or exposed tooth roots due to gum recession. Common esthetic gum surgeries include gum contouring (reshaping) and grafting (to address gum recession or augment gum tissue).
Flap Surgeries of Gums
These surgeries can be performed for various purposes, including addressing gum disease, removing cysts or tumors, or accessing tooth roots for other dental procedures. The specific type of flap surgery will depend on the patient’s dental condition and treatment needs.
Gum Correction Surgeries
The specific procedure recommended will depend on the individual patient’s dental condition and goals, whether it’s to treat gum disease, enhance esthetics, or address other gum-related concerns.
Need an Emergency Help?
Call Us!
Testimonials
What people say about Us.

Mr. and Mrs.Bagla
They are dentists with good skill and talent…soft spoken and well behaved..

Vipin Netriwal
I was dealing with a dental surgical complication from my previous dentist since last 3-4 months for which I consulted so many doctors. A friend of mine suggested me to consult Dr. Gaurav Shah and after getting the treated by Dr. Gaurav Shah, my problem vanished in 15 days. It is also pertinent to mention here that both the husband and wife (Dr. Gaurav Shah and Dr. Veena Gauri Shah) are very kind hearted, very soft spoken and behave with patient in such a manner that the patient feels relieved of pain. Thanks a lot.

Arun Chordia
My experiences with Dr. Shah have always been extremely pleasant. His professional approach along with top quality service delivery ensures all round dental care.

